産品中心
PRODUCT CENTER
PRODUCT CENTER
PRODUCT CENTER
具有保水性,黏度高,黏彈性,潤滑性;
酶法降解制備寡聚HA

透明質酸酶具有專一(yī)性,對透明質酸溫和而專一(yī)地作(zuò)用于糖環之間(jiān)的糖苷鍵,
對糖環沒有損害,能(néng)保證透明質酸分(fēn)子(zǐ)的結構完整性。并且降解得到的寡聚透明質酸均一(yī)性好(hǎo)(hǎo),Mw/Mn<3.0。< p="">
Oligo-HA功效研究(外用)
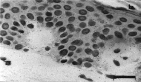
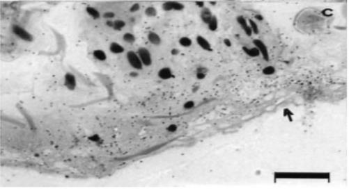
- 透皮吸收作(zuò)用


圖示為(wèi)在人(rén)前臂皮膚中的吸收情況
外觀:透明液體(tǐ)
溶解性:水溶
建議(yì)添加量:0.1%-0.5%
應用:可用于保濕、抗衰老、防曬和曬後修複以及具有多重功效的産品。